Ngày 25/6, Bệnh viện Nguyễn Trãi (TPHCM) cho biết, trong 4 tháng đầu năm 2025, đơn vị đã tiếp nhận và điều trị thành công 4 trường hợp bệnh nhân mắc giun lươn – một loại ký sinh trùng nguy hiểm có thể gây tử vong nếu không được phát hiện sớm.
Các ca bệnh đều có triệu chứng tiêu hóa, hô hấp kéo dài như mệt mỏi, đau bụng, tiêu phân nhầy, ho… nhưng không đáp ứng với các phương pháp điều trị thông thường.
Điểm chung của cả 4 bệnh nhân là đều có tiền sử sử dụng thuốc corticoid kéo dài hoặc đang điều trị các bệnh mạn tính làm suy giảm miễn dịch.
Theo BS.CKI Hà Phúc Tuyên – Phó trưởng khoa Tiêu hóa - giun lươn là ký sinh trùng có thể tồn tại âm thầm trong cơ thể nhiều năm mà không gây triệu chứng rõ ràng. Khi hệ miễn dịch suy yếu, giun lươn có thể bùng phát mạnh, gây nhiễm trùng lan tỏa và đe dọa đến tính mạng người bệnh.
Việc chẩn đoán giun lươn thường gặp nhiều khó khăn do triệu chứng không đặc hiệu, dễ bị nhầm lẫn với các bệnh lý tiêu hóa thông thường. Bên cạnh đó, xét nghiệm soi phân thường cho kết quả âm tính dù bệnh nhân đã nhiễm, khiến việc phát hiện càng trở nên phức tạp.
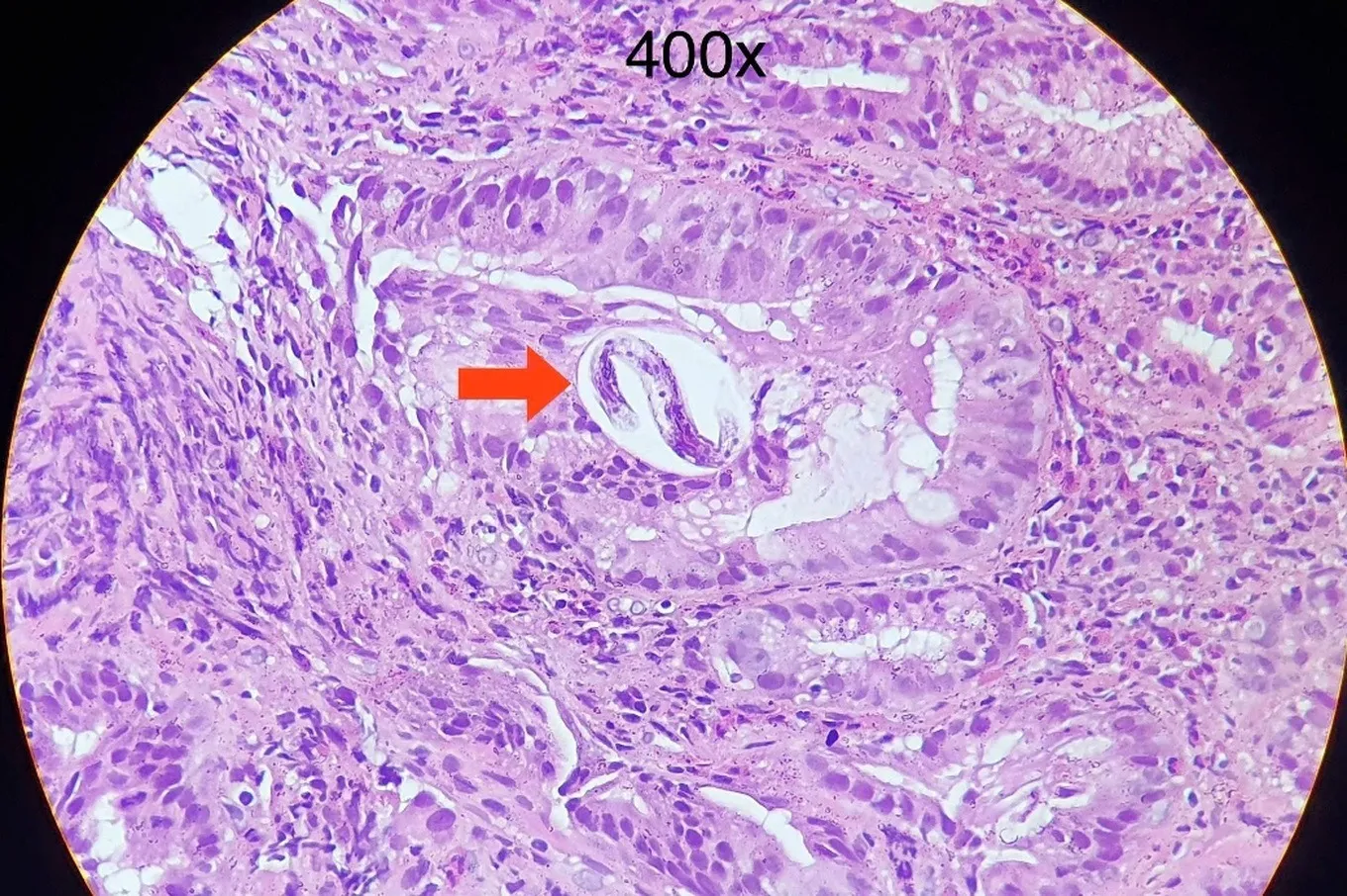
Một trong các ca điển hình là bệnh nhân nhập viện do xuất huyết tiêu hóa, ban đầu nghi do vi khuẩn H.pylori, nhưng sinh thiết tá tràng sau đó xác định thủ phạm chính là giun lươn.
Tất cả các bệnh nhân khi được chẩn đoán đúng đều đáp ứng tích cực với phác đồ điều trị bằng thuốc Ivermectin – loại thuốc chuyên biệt dành cho các bệnh nhiễm ký sinh trùng như giun chỉ, giun lươn, ghẻ... Sau điều trị, sức khỏe các bệnh nhân đã ổn định.
BS Tuyên khuyến cáo người dân cần cảnh giác với giun lươn, đặc biệt là nhóm bệnh nhân có hệ miễn dịch suy yếu, người dùng corticoid lâu ngày, hoặc có triệu chứng tiêu hóa – hô hấp không rõ nguyên nhân kéo dài. “Khi cơ thể có dấu hiệu bất thường, nên đến cơ sở y tế chuyên khoa để nội soi và sinh thiết nhằm chẩn đoán sớm, tránh biến chứng nguy hiểm,” ông nhấn mạnh.


